主页 > 七大项目 > 口腔诊疗 >

口腔知识科普| 牙周病:牙齿缺失的隐形“凶手”
2023-02-05 10:53来源:德伦口腔点击:
牙周病是发生在牙齿组织周围的一种慢性进行性疾病。可因牙龈发生炎症、水肿、牙周袋形成、牙齿松动、咀嚼功能下降所导致,导致牙齿脱落。

 
如未能及时治疗,炎症可由牙龈向深层扩散到牙周膜、牙槽骨和牙骨质而发展为牙周病。由于早期无多明显自觉症状易被忽视,待有症状时已较为严重,甚至不能保留牙齿。

 
简单的说,牙周病是使牙齿地基——牙槽骨流失的疾病,是成年人牙齿缺失的主要原因。
 
牙周病的分类
 
牙龈炎
 
牙龈炎主要是局限于牙龈组织的炎症性病变,一般不累及深部牙周组织。
 
牙周炎
 
牙周炎在牙周病中常见,主要表现有牙龈红肿出血,牙周袋形成、牙周袋溢脓、牙齿松动、牙龈退缩、牙周脓肿等。牙周炎以形成病理性牙周袋为主要病变。

 
牙周创伤
 
牙周创伤是由于咬合压力过大或方向异常,超越牙周组织所能承受的负荷,使牙周支持组织产生破坏的一种疾病。牙周创伤发展缓慢,一般无明显症状,有时感觉咀嚼无力,或有时有隐痛或钝痛感。
 
青少年牙周炎
 
青少年牙周炎是累及多数牙齿的牙周组织的慢性变性损害,其特点是大部分患者较年轻,病变发展迅速,以致发病早期牙齿就出现松动、移位、牙周袋形成,然后出现继发感染,发病因素可能与遗传有关。

 
牙周萎缩
 
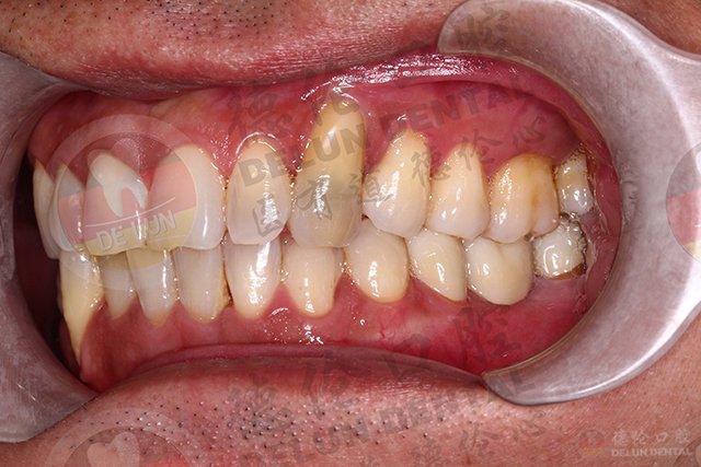
牙龈和牙槽骨骨组织的退缩性病变,表现为牙龈退缩,牙颈部或牙根暴露。发生牙周萎缩的主要原因是:牙颈部牙结石对牙龈的压迫;该部位牙的长期废用或全身性因素所致;不正确的刷牙方法带来的机械性刺激;修复体压迫牙龈等。查看更多德伦口腔牙周病治疗案例>>>

 
牙周病的症状
 
刷牙出血
 
刷牙出血是牙龈炎存在的较早也是较好发现的症状。不论是间歇性还是连续性出血,是大量还是少许,都代表着您的牙龈状况很不好。

 
牙龈肿胀
 
牙周病会导致牙龈肿胀,而一般情况下这种肿胀和破坏是不会产生疼痛的,所以我们叫它“沉默的杀手”。
 
有个别位置的牙龈因为急性的炎症导致脓肿的产生,就会出现牙龈肿痛的症状,这就是牙周炎症导致的“牙周脓肿”,它往往代表了下面局部的骨头受到大量的破坏,所以一定要早处理。

 
持续性口臭
 
口臭是常见的口腔疾病,引起口臭的原因有很多,牙周炎是一个重要的原因。牙周炎会引起牙龈出血,组织发炎,致病菌产生的代谢产物都会造成口臭。
 
牙缝变大
 
牙周病会引起牙龈和下方牙槽骨的退缩,引起牙间本应由牙龈和牙槽骨占据的空间暴露出来,使患者感觉牙缝越来越大。

 
牙齿松动移位
 
牙齿松动就是炎症严重的表现,有时松动可能不很明显,比如门牙缝变大了、门牙发生了扭转、门牙往外龇等等,这些都是牙周炎的症状。
 
当您发现有个别牙齿松动甚至自行脱落时,一定要及时来进行牙周检查。想了解您的口腔情况?到德伦口腔做个口腔检查吧!领取免费口腔检查券>>>
 
如果您还有其它疑问,可以在线咨询德伦口腔专家为您解答相关口腔问题,您也可以拨打全国热线电话 020-83782905 咨询,德伦口腔专家会竭尽所能的帮助您。

特色项目

牙齿问题在线咨询 020-8378 2905

专家推荐

网上自助挂号

患者
须知

贯彻国家卫生部新医改政策,严格落实解决挂号难、看病难问题,开展网络自助预约挂号服务。

选择科室*

  • 种植科
  • 正畸科
  • 综合牙科
  • 儿童齿科

选择年龄*

  • 18岁以下
  • 18-30岁
  • 30-50岁
  • 50岁以上

口腔连锁品牌

专家预约热线:020-8378 2905
本网站信息仅供参考,不能作为诊疗及医疗依据
广州德伦口腔 粤ICP备11073526号