主页 > 七大项目 > 美容修复 >

牙体缺损,你知道该怎么修复吗?
2024-09-03 16:55来源:未知点击:
牙体缺损是口腔修复科常见的一种症状。它可能是因为意外事故产生的,也可能是因为某种口腔疾病导致的。长期的牙体缺损会对身体造成危害,主要是由于牙体缺损会影响到口腔发挥的正常咀嚼功能,也会影响到外在容貌美观。
 
对于牙体缺损修复,可能很多人会感到很茫然。面对“五花八门”的修复方式,无从选择,那么,牙体缺损,该如何选择修复方式呢?
 
 
根据缺损的类型,常用的修复方式主要有以下几种:你适合哪种修复方式?免费在线咨询>>>
 
嵌体修复
 
主要应用于后牙。牙体缺损比较局限,剩余的牙体组织可以耐受咀嚼食物时受到的力而不致折裂,也能保持修复体不从牙齿上脱落。与其他修复体相比,对牙齿的创伤较小,但其对剩余牙体组织的保护作用不及全冠修复体。
 
 
优点:嵌体与其他全冠、桩核冠等修复体相比,对牙齿的创伤较小。
 
缺点:嵌体与牙体衔接的交界线更长,发生龋坏的几率更大;而且嵌体对剩余牙体组织的保护作用不及全冠修复体。因此当龋坏率高、缺损大、牙体薄弱时均不适合选用嵌体。
 
瓷贴面
 
以接近正常牙齿颜色的人工材料覆盖牙冠唇颊侧的修复体。对于前牙较小较为表浅的牙体缺损,贴面是非常不错的选择。但对于上颌牙严重的排列不齐、上颌前突、牙唇面严重磨损无间隙,以及有夜磨牙、紧咬牙等口腔副功能的患者一般不宜选用贴面修复。
 
优点:牙体磨损小,微创,美学性能、生物相容性好。
 
缺点:对粘结操作要求高,另外由于贴面很薄,在修复严重牙体变色情况时可能出现遮色效果不佳。

贴面修复前后对比图片
查看更多德伦口腔瓷贴面修复案例>>>
 
全冠
 
如牙体缺损较严重,使用嵌体或贴面修复容易损坏或脱落,则可以采用覆盖全部牙冠表面的修复体。有金属、烤瓷熔附金属、全瓷等材料可选择。
 
优点:对剩余牙体组织保护性好,可以获得大的固位力。
 
缺点:对牙体磨削量较嵌体和贴面大,而且当修复体边缘形态处理不佳时容易引起牙周疾病。

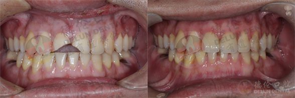
美容冠修复前后对比图片
查看更多德伦口腔美容冠修复案例>>>
 
以上就是关于牙体缺损修复的介绍,如果您还有其它问题,可以在线咨询德伦口腔专家为您解答相关口腔问题,您也可以拨打全国热线电话 020-83782905 咨询,德伦口腔专家会竭尽所能的帮助您。

特色项目

牙齿问题在线咨询 020-8378 2905

专家推荐

网上自助挂号

患者
须知

贯彻国家卫生部新医改政策,严格落实解决挂号难、看病难问题,开展网络自助预约挂号服务。

选择科室*

  • 种植科
  • 正畸科
  • 综合牙科
  • 儿童齿科

选择年龄*

  • 18岁以下
  • 18-30岁
  • 30-50岁
  • 50岁以上

口腔连锁品牌

专家预约热线:020-8378 2905
本网站信息仅供参考,不能作为诊疗及医疗依据
广州德伦口腔 粤ICP备11073526号