主页 > 七大项目 > 美容修复 >

门牙缺了一块,修复方式有哪些?

如果说牙齿是门面担当,那门牙就肩负大任,既要坚守日常咀嚼食物的工作,还要维护我们的颜值形象。 所以...

牙齿变黄,这些美白偏方可不靠谱

有句俗话说得好:齿白七分俏,貌美牙为先。在这个颜值当道的时代,不是化妆技术了得、衣服靓丽就是美女...

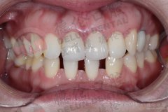
门牙缺了一块,到底要如何修复?

如果说牙齿是门面担当,那门牙就肩负大任,既要坚守日常咀嚼食物的工作,还要维护我们的颜值形象。 所以...

“老鼠牙”到底是啥,该如何挽救

老鼠牙又称过小牙,学名为牙本质发育不全。牙本质发育不全是一种牙本质发育异常的常染色体显性遗传疾病...

造成牙齿黑的原因有哪些?

一口洁白的牙齿给人以清新的感觉,美观而又大方。相反,如果出现黑牙,却会令高颜值大打折扣!还会令人...

黄牙逆袭!牙齿美白的正确打开方

牙齿其实是由牙釉质、牙本质、牙骨质和牙髓4个部分组成。其中可能对牙齿颜色产生影响的,主要是牙釉质和...

特色项目

牙齿问题在线咨询 020-8378 2905

专家推荐

网上自助挂号

患者
须知

贯彻国家卫生部新医改政策,严格落实解决挂号难、看病难问题,开展网络自助预约挂号服务。

选择科室*

  • 种植科
  • 正畸科
  • 综合牙科
  • 儿童齿科

选择年龄*

  • 18岁以下
  • 18-30岁
  • 30-50岁
  • 50岁以上

口腔连锁品牌

专家预约热线:020-8378 2905
本网站信息仅供参考,不能作为诊疗及医疗依据
广州德伦口腔 粤ICP备11073526号