主页 > 新闻 >
熊小琴:这几种人 矫正别选邻面去釉
2021-11-24 14:42来源:未知点击:次
我们都知道,矫正中拔牙是为了获取空间,提供给牙齿移动排齐。
但并非所有牙齿矫正都需要拔牙,还有几种常规的办法——推磨牙远移、扩弓及邻面去釉,也能为牙齿提供空间。
本期时代天使的《牙医来了》请了我们广州德伦口腔总院的熊小琴主任,带大家全方位地了解“邻面去釉”。

以下为熊小琴主任在时代天使公众号发布的文章↓↓
随着隐形矫治的快捷普及,邻面去釉在矫治中的应用也越来越广泛。
对于隐形矫治来说,邻面去釉是比较有效地获取间隙的一种方式,相比拔牙,可以适当减少矫治周期。
01 什么是邻面去釉?
邻面去釉(interproximal reduction,简称 IPR)是正畸治疗获取间隙、解除拥挤的方法之一。
IPR 通常是指使用适当的器械在牙齿的邻面磨除一定量的釉质,来减少牙齿近远中宽度,为拥挤牙齿提供一定量的间隙,以减少拔牙治疗的可能。邻面去釉又称“片切”或是“牙齿减径”。
02 邻面去釉的适应症 /禁忌症
每个人的牙齿形态各不相同。邻面去釉适合牙冠形态不好、牙齿拥挤度不大的情况。

▲ 通过 IPR 解除轻度拥挤

▲ 通过 IPR 解除12反合,协调双侧牙冠形态
主要来说,有以下几个适合与禁忌的情况:

① 对于矫治前/后存在黑三角的患者,通过 IPR 可以得到有效改善;对于前牙扭转患者,随着牙齿排齐、扭转的纠正和正常邻接关系的建立,可能出现黑三角,通过 IPR 可以有效预防这种三角间隙的出现。
② 邻接面宽大的牙齿禁忌进行 IPR。这些牙齿邻接面为平面,基底大,冠宽处在龈方(接近牙龈的一端)而不是合方(接近咬合的一端),容易造成食物嵌塞,牙槽嵴吸收,禁忌进行 IPR。
③ 有观点认为邻牙的牙根越近,根间牙槽嵴就会越窄,进而造成血供减少,导致牙周组织对细菌入侵的抵抗力下降,不利于牙周健康,也不利于去釉间隙的完全关闭。
03 正确的邻面去釉分以下几步
选择合适的时机合适的牙位,按方案预先设计
用专业的器械来实施去釉
邻面去釉后牙体外形的修整
邻面去釉后的牙面抛光
测量去釉量
氟化治疗
04 邻面去釉更容易蛀牙吗?
片切后是否更易蛀牙?这是大家关心的问题之一。
通常来说,去釉量不超过牙齿表面釉质厚度的一半都是可靠的,那牙齿表面的釉质到底有多厚呢?
每个人,每颗牙齿都是不同的,大部分牙齿的釉质厚度介于 0.6mm 到 3mm 之间。正畸过程中,医生会在可靠范围内进行操作,以下列出可靠的去釉量:

为了保障临床操作可靠,常规选择前牙及前磨牙进行 IPR。
有相关研究报道,去釉后的釉质比原来的釉质抗龋能力更强。对比实验表明,磨除表层完全矿化的釉质,会增强减径表面釉质再矿化(抗酸)的潜力。片切形成的面并不更易患龋,并且经过 9 个月后,片切面的自然再矿化过程就得以完成。
参考文献:
Martinhol.R.Moreno Pinheiro. Interproximal
enamelreduction.WorldJ Orthod 2002,3:223~232
做完去釉后,去釉面还会进行抛光及涂氟处理。所以,规范的邻面去釉是很可靠的,不必担心蛀牙的发生。
还有几个关于邻面去釉,大家常会问到的问题:
■邻面去釉要打麻药吗?
因为去釉的工作局限于釉质外层,这一层没有神经分布,所以不会引起痛感,不需要打麻药。
■邻面去釉会出血吗?
在去釉过程中,会进行龈乳头保护,一般不会出血。如果牙龈红肿,建议牙龈炎症消退后再行操作。少数情况下会碰到龈乳头边缘,会有轻微出血;无论出血有无,一般都没有痛感。
■邻面去釉后的口腔护理?
养成良好的口腔卫生习惯。建议患者应用含氟牙线、含氟牙膏、含氟无糖口香糖或含氟漱口液等。
邻面去釉后,新形成的外面一层釉质的氟浓度因有了氟化物的应用,氟浓度的增加会更高一些,氟的作用增加了釉质表面的微硬度,因而新形成的釉质可能比原来的釉质具有更强的抗龋能力。
综上,在口腔正畸史上,邻面去釉技术已成熟且在可靠范围内,患者大可不必担心。
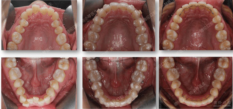
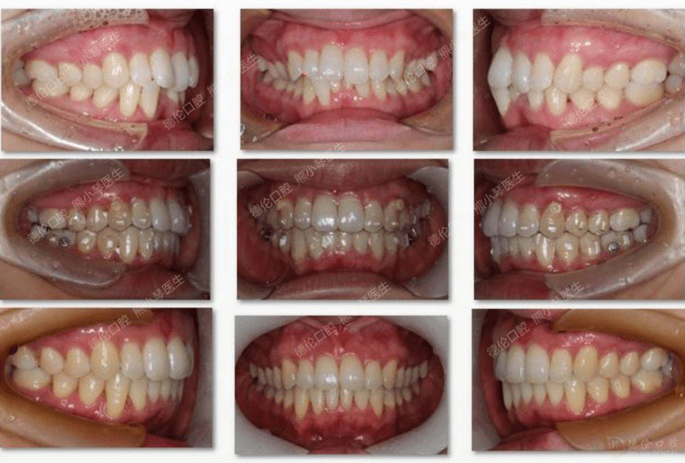
分享一个用隐形矫正结合邻面去釉矫正的案例:

▲ 矫正前vs矫正后
该女生下牙中度拥挤,上牙轻度拥挤,通过邻面去釉,配合扩弓以及推磨牙远移来获取足够空间,在未拔牙的情况下顺利完成矫正。

▲矫正前、矫正中、矫正完成后舌侧丝保持
矫正完成后,牙弓形态呈现漂亮的卵圆形,解除深覆合,获得一口整齐健康的牙齿。
特色项目
牙齿问题在线咨询
020-8378 2905
专家推荐